الرئيسية
أحداث منوعة
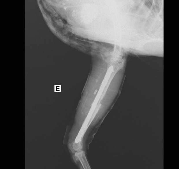
أحداث اليوم - أجرى طبيبان مصريان عملة جراحية لـ"دجاجة" بتكلفة 7 آلاف جنيه.
ونقلت بوابة "الأخبار"، مساء اليوم الخميس، عن الدكتور فتحي سلمي صهبي، مدير مديرية الطب البيطري بمحافظة البحر الأحمر، أن الطبيبين اللذين أجريا عملية جراحية لدجاجة بتكلفة 7 آلاف جنيه بمدينة سفاجا لا يعملان بالمديرية.
وأكد صهبي أنه تم إجراء العملية بعيادة خاصة تحت الترخيص، وأن الطبيبين أجريا العملية بعد رغبة مالكها في علاجها بعد الاتفاق على التكلفة.
وأضاف أن الطبيبين خضعا لرغبة مالك الدجاجة في علاجها بالرغم من أنها ليست حيوانا نادرا كالصقر أو الحيوانات الأخرى ذات الطبيعة الخاصة لندرتها، مؤكدا أن الطبيب يتعامل في عيادته بالجانب الاقتصادي.
وكان طبيبان بيطريان قد أجريا عملية جراحية لـ"فرخة" بها كسر وتم تركيب شرائح ومسامير طبية لها ويطلق عليها اسم "ليكسي" ووضعت تحت الملاحظة، وتم وضعها على أجهزة وتركيب محاليل لها كبديل عن الطعام. (سبوتنيك)




الرجاء الانتظار ...