الرئيسية
أحداث محلية
الحسين للسرطان ينشر صورة لرئتي مصاب بكورونا
أرشيفية
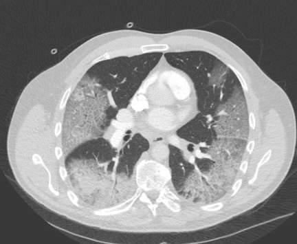
أحداث اليوم - نشر مدير عام مركز الحسين للسرطان الدكتور عاصم منصور، صورة عبر صفحته على فيسبوك، يظهر فيها رئتي مصاب بفيروس كورونا والتغيرات التي حدثت عليها.
وعلق منصور على الصورة قائلا: "هذا المنشور غير موجه للمختصين".
وأوضح أن "كل ما هو أسود في هذه الصورة الطبقية للرئتين هو طبيعي ويمثل الجزء الذي يحتوي على الهواء منهما، أما ما هو أبيض فهو الجزء الذي احتله الفايروس وشرّد أهله (الهواء)".
وأضاف "بالتالي لم يعد صالحا لتبادل الأكسجين مع الدم وهو ما يؤدي الي ضيق النفس الذي يشعر به المريض ويستدعي مساعدته بضخ الهواء الى رئتيه صناعيًا".
وأكمل منشوره قائلا "اسأل الله ان يحمي "رئاتنا" جميعا من هذا المحتل ويبقيها عامرة بالهواء (الصحي)".
[03-04-2020 11:14 PM]
التعليقات حالياً متوقفة من الموقع




الرجاء الانتظار ...